宫颈功能不全,是导致孕中晚期流产、早产的重要原因之一,它就像子宫口的“闸门”提前松动,让还未发育成熟的宝宝面临提前降临的风险。今天我们就用通俗的语言,和大家聊聊这个问题,以及超声检查在其中的关键作用。
一、什么是宫颈功能不全?
宫颈功能不全的发病率约占妊娠妇女的0.1%~0.8%,常见病因包括宫颈创伤(如既往宫颈手术、分娩损伤)和先天性发育异常。
正常情况下,宫颈会在孕晚期、临产前才逐渐展平、变软、扩张,为分娩做准备。而宫颈功能不全的患者,宫颈会过早成熟、缩短,甚至在孕中晚期就出现宫颈内口扩张,导致胎膜过早破裂,引发流产或早产。
这类患者往往有2次及以上的晚期流产或早产史,但在非孕期妇科检查中,宫颈可能表现正常,因此很容易被忽视。
二、超声:发现宫颈问题的“慧眼”
超声检查是诊断宫颈功能不全的核心手段,通过清晰显示宫颈的形态、长度和内口状态,能为临床提供关键依据。
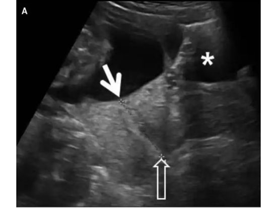
1. 关键诊断标准
在超声检查中,医生会重点关注以下指标:
- 宫颈长度:孕早期宫颈长度 ≤ 3.0 cm 提示可能存在问题;≤ 2.0 cm 则可基本确定诊断。

- 宫颈内口扩张:孕早期宫颈内口宽度 ≥ 1.5 cm,或孕中期内口扩大 ≥ 2.0 cm,都需要高度警惕。
- 特殊形态:如果超声发现羊膜囊向宫颈管内突出,甚至部分胎囊膨入,是宫颈功能不全的典型表现。

2. 检查注意事项
超声诊断时,需要注意与子宫内口的正常形态变异相区分:
- 正常子宫内口可呈小三角形,部分短宫颈者宫颈管并无增宽。
- 检查时需膀胱适度充盈,以清晰显示宫颈全貌,必要时需结合病史多次复查。
三、早发现,早干预,守护宝宝平安
宫颈功能不全的危害在于它的“隐匿性”,很多患者没有明显症状,直到发生流产或早产才被发现。因此,有高危因素的准妈妈(如既往晚期流产史、早产史、宫颈手术史),一定要在孕早期就开始进行规范的超声宫颈评估。
一旦通过超声发现异常,医生会根据情况采取相应的干预措施,比如宫颈环扎术等,尽可能延长孕周,为宝宝的健康发育争取时间。
四、温馨提示
超声检查是无创、安全的孕期监测手段,不会对胎儿和母体造成伤害。请各位准妈妈务必遵医嘱,按时完成各项产检,尤其是针对高危因素的专项检查,早发现、早干预,才能更好地守护母婴健康。
投稿者:刘霞
| 上一条:【健康科普】“胃”雨绸缪:全面认识胃炎——你的胃在“发炎”警报 | 下一条:【健康科普】读懂宝宝的健康“电码”:一篇讲清胎儿监护 |






