对于许多家庭来说,怀孕是一段充满期待和喜悦的旅程。然而,并非所有的妊娠都能顺利进展。有一种被称为"葡萄胎"的情况,虽然罕见,但需要我们有所了解和重视。

什么是葡萄胎?
葡萄胎是一种良性妊娠滋养细胞疾病,医学上又称为"水泡状胎块"。它的名称来源于其病理特征:胎盘绒毛滋养细胞异常增生,间质水肿,形成大小不一的水泡。这些水泡借蒂相连成串,形状类似葡萄。葡萄胎的两种类型葡萄胎主要分为两类:完全性葡萄胎和部分性葡萄胎。
完全性葡萄胎

宫腔内没有正常的胎儿或胚胎组织所有染色体(46条)均来自父方临床表现相对典型且症状较重。
部分性葡萄胎

宫腔内有一部分发育不良的胚胎组织染色体为三倍体(69条),其中一套多余的染色体也来自父方症状通常比完全性葡萄胎要轻。
哪些信号需要警惕?
如果在怀孕早期出现以下情况,应及时就医检查:
1.停经后阴道流血:这是较常见的症状。90%的患者可有阴道流血。通常在停经8-12周左右开始出现不规则出血。
2.子宫异常增 大:子宫大小可能明显大于相应孕周。这是因为葡萄胎组织增长迅速。
3.严重孕吐:出现时间早,症状严重且持续时间长。
4.卵巢囊肿:由于异常激素水平刺激,卵巢可能出现黄素化囊肿。
5.腹 痛:因葡萄胎增长迅速和子宫过度快速扩张所致,表现为阵发性下腹 痛,一般不剧烈,能忍受,常发生于阴道流血之前。
6. 其他症状:少数患者可能出现甲状腺功能亢进、高血压、蛋白尿等症状。
如何诊断与治 疗?
凡有停经后不规则阴道流血要考虑葡萄胎可能,若阴道排出葡萄样水泡组织支持诊断。但随着近年来超声在早孕期的普遍使用,多数葡萄胎在妊娠早期即被终止,因此,临床上葡萄胎的症状和体征表现的越来越不典型。同时也由于葡萄胎妊娠早期超声缺乏典型特征,HCG升高不明显,临床上容易导致延迟诊断,甚至误诊误治。
辅助检查

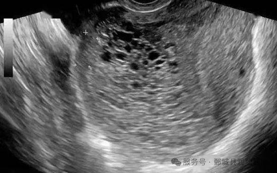
B超检查:这是较常用的辅助检查。
完全性葡萄胎的典型B超表现:
(1)子宫明显大于相应孕周。
(2)无妊娠囊或胎心搏动。
(3)宫腔内充满不均质"落雪状"或"蜂窝状"回声"。
部分性葡萄胎可在胎盘部位出现由局灶性水泡样胎块引起的超声图像改变,有时还可见胎儿或羊膜腔,胎儿通常畸形。
hCG测定:患者血清中的hCG水平会显著高于正常孕周的相应值。
治 疗原则
及时清宫:一旦确诊,应尽快通过手术清 除子宫内的葡萄胎组织。
组织学检查:刮出的组织必须送病理检查,这是确诊的"金标准"。
预防化疗:仅适用于有高危因素的完全性葡萄胎患者,不常规推荐。
治 疗后的重要环节:随访
葡萄胎治 疗后,定期随访至关重要,这是早期发现恶变风险的关键。
hCG监测:这是随访的核心内容。
清宫后每周一次,直至连续3-4次结果为阴性
之后每个月一次,持续6个月
再之后每2个月一次,再持续6个月
总共需要严格随访至少一年
2.可靠避孕:随访期间必须严格避孕,建议使用避孕套或口服避孕药。
避免使用宫内节育器,以防子宫穿孔或混淆出血原因
医生通常建议在hCG水平正常后避孕至少6个月再考虑怀孕
关于复发与再孕
复发风险:有过一次葡萄胎病史的女性,再次发生的风险会略高于常人。
再次怀孕:绝大多数葡萄胎患者治 愈后可以再次正常怀孕。
孕期监测:再次怀孕时,应尽早进行B超检查,并密切监测hCG水平。
上述图片来自网络。
病历分享
患者张女士,因停经50+天,阴道少量出血2天来院就诊。
诊疗经过:张女士停经30天自测尿妊娠试验阳性,2天前无明显诱因出现阴道流血情况,量少,色暗。为进一步治 疗,遂来院就诊。彩超检查示:宫腔内未见明显妊娠组织,可见不均质蜂窝状无回声及液性回声。血HCG示:46146mIU/mL。考虑葡萄胎,立即给予其行清宫术,术后送病理。病理示:(宫腔内容物)查见退变的胎盘绒毛及蜕膜组织,局灶胎盘绒毛水肿,似见中 央水池形成,滋养叶细胞增生。免疫组化结果符合完全性水泡状胎块。符合完全性葡萄胎诊断,嘱其避孕套严格避孕及连续4周复查血HCG,每周1次监测血HCG值变化。患者自行当地卫生室复查血HCG值,血HCG值下降理想。第4周本院复查血HCG示:2mIU/mL,彩超示:内膜B形表现,全层厚约10.7mm,内回声不均。后嘱其继续连续监测6个月血HCG值,每月1次。再继续连续监测6个月血HCG值,每2月1次。回访患者后续检测血HCG值均正常。入院彩超检查示:

病理检查结果如下:

本文仅为健康科普,个体情况请遵医嘱!
参考文献1.《妇产科学第10版》2.《葡萄胎诊治中国专家共识(2024年版)》
投稿人:邵凤霞 审核人:李慧、李新玲
| 上一条:没有了 | 下一条:高血压:无声的“隐形杀手” —— 全面了解与科学管理 |









